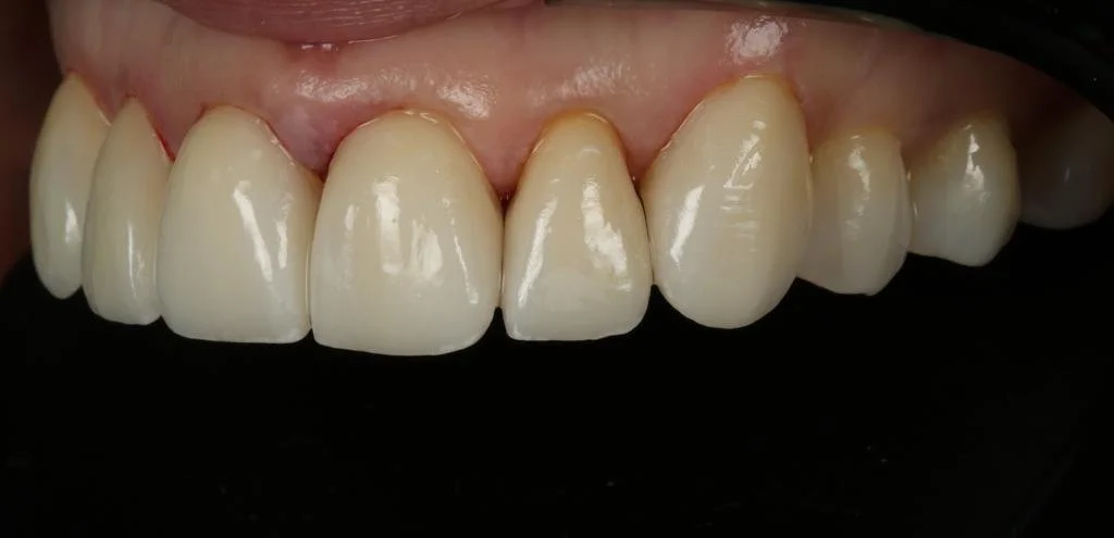
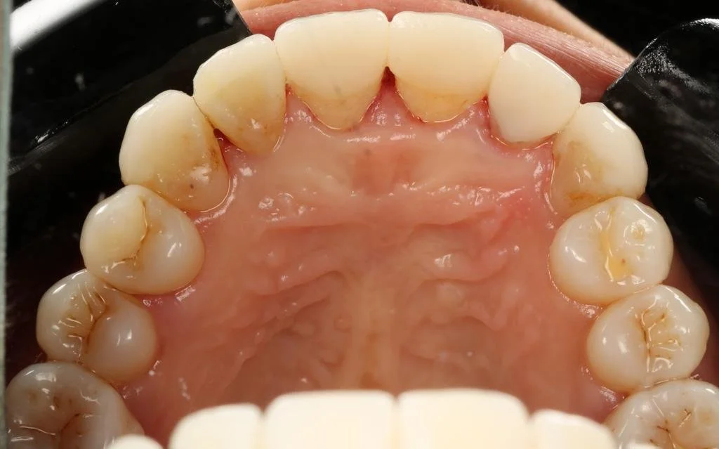
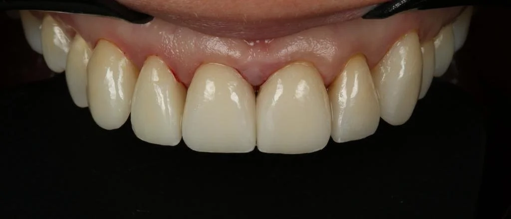
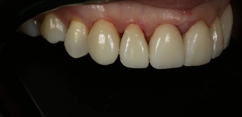
Cerec Reshape and Stain Graze

It all begins with an idea. Maybe you want to launch a business. Maybe you want to turn a hobby into something more.

Client
Name here

Year
01/01/000

Get in touch.

This is the place to write the brief booking instruction, or I can link the the new page with full page of prebooking intro.

Book a Job